PKD Raises Atrial Fibrillation Risk
Patients with polycystic kidney disease (PKD) are at elevated risk of new-onset atrial fibrillation.
The Future of Bladder Cancer Research ...
An interview with David J. McConkey, PhD, the first director of The Johns Hopkins Greenberg Bladder Cancer Institute.
Tolvaptan Use in ADPKD
The ERA-EDTA has published a consensus document with recommendations for the use of tolvaptan in patients with autosomal dominant polycystic kidney disease (ADPKD).
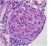
Simpler PCa Grading System Proposed
Tumors fall into 1 of 5 grade groups based on what pathologic findings indicate about prognosis.
Sleep Apnea: A CKD Risk Factor?
Sleep apnea may be a novel risk factor for chronic kidney disease (CKD), a new Taiwanese study suggests.
Using Telemedicine for Patient Encounters
Eric M. Wallen, MD, Professor of Urology and Urology Residency Program Director at the University of North Carolina Chapel Hill, uses telemedicine and shares his experience.
ESRD Anemia Responds to Investigational Drug
Roxadustat, an investigational oral drug, is well tolerated and can maintain hemoglobin (Hb) levels for up to 19 weeks in patients with end-stage renal disease (ESRD) and anemia.
PCa Patients Unaware of Sexual Complications
Patients who undergo radical prostatectomy (RP) have unrealistic expectations about their sexual function after the operation, new study findings reveal.
HIPAA Compliance Solutions for Small Practices
Many small practices fall short on requirements because they do not have the resources to comply.
Recombinant Erythropoietin Benefits CKD
Treatment with recombinant human erythropoietin (rHuEPO) in patients with chronic kidney disease (CKD) but not on dialysis corrects anemia, reduces the need for blood transfusions, and improves quality of life and exercise capacity, researchers concluded from a systematic review.
Go With the Patient Flow
Appointment schedules should reflect physicians' work style and patient demands.
CME: SGLT-2 Inhibitors for Type 2 ...
Increased clinical research has been focused on the sodium-glucose co-transporter 2 (SGLT-2) inhibitors for the management of type 2 diabetes.
Looking for a Job?
Access our job board to view over 1,000 job openings throughout the US.
RUN Social Media Survey
Tell us about your social media habits for a chance to win a free gift card.
Xtandi Resource Center
Access information and support materials for Xtandi that can help your practice and patients with metastatic castration-resistant prostate cancer.
ZERBAXA (ceftolozane and tazobactam)
For complicated UTIs, including pyelonephritis, and intra-abdominal infections.
TRIFERIC® (ferric pyrophosphate citrate) solution
For iron replacement in adults with chronic kidney disease on hemodialysis.
Avycaz™ (ceftazidime-avibactam)
For treatment of complicated intra-abdominal infections and urinary tract infections.
Cartoons
Online Poll
Jan-Feb Digital Issue
RUN Articles
Sign Up for Free e-newsletters
NEPHROLOGY & UROLOGY NEWS
- Acute Kidney Injury (AKI)
- Anemia
- Chronic Kidney Disease (CKD)
- Contrast Nephropathy
- Cardiovascular Disease (CVD)
- Diabetes
- Diabetic Nephropathy
- End-stage Renal Disease (ESRD)
- Hemodialysis
- Hyperphosphatemia
- Hypertension
- Hyperuricemia
- Lupus Nephritis
- Peritoneal Dialysis
- Secondary Hyperparathyroidism (SHPT)
- Transplantation
